Rest versus Exercise: What is Best for Healing a Tendon? ... Harnessing the Power of Mechanotransduction: How Exercise Can Promote the Healing of Tendons (Oct '23)
Oct 20, 2023At the Tendon and Joint Healing Academy, our mission is to empower highly motivated, active individuals with knowledge on their journey to healing and recovery from musculoskeletal injuries.
Steven Makovitch DO and Christine Eng MD
Objectives:
- To learn how tendon healing really needs specific loads to stimulate growth
- To do this we will have to:
- Discover how exercise in physical therapy stimulates tendon healing through the process of mechanotransduction
- Learn how specific exercises trigger cellular responses, promote tissue repair and remodeling, and improve tendon function
- Find out how physical therapists use mechanotherapy to optimize movement and enhance the clinical utility of emerging therapies
- Explore the benefits of exercise for tendon healing and discover the scientific principles behind this effective treatment approach
Give me the Easy Version…
Exercise plays a crucial role in the healing of tendons by a process called mechanotransduction. Mechanotransduction is how cells in our body convert mechanical forces into biochemical responses, leading to tissue repair. When we exercise, the mechanical forces generated stimulate cells in our tendons, promoting healing and strengthening.
Physical therapy uses exercise as a form of mechanotherapy to stimulate tissue repair and remodeling. By introducing targeted exercises, the tissue mass, structure, and quality of a tendon can improve. For example, eccentric training, which involves slowly lowering the heel from a raised position, has shown effectiveness in healing Achilles tendinopathy.
At the cellular level, exercise triggers a series of events that lead to healing. Mechanical loading during exercise stimulates protein synthesis and activates signaling pathways within tendon cells. These pathways result in the production of specific proteins that contribute to tendon healing and remodeling.
Tendons also contain tendon stem/progenitor cells (TSPCs) responsible for replenishing tendon cells. Mechanical loading through exercise plays a crucial role in promoting the proliferation and differentiation of TSPCs into tenocytes, the specialized cells that make up tendons. The right type of loading ensures the proper function of TSPCs and prevents non-tenocyte differentiation, which can impair tendon function and cause pain.
By understanding mechanotransduction and the cellular responses to exercise, physical therapists can optimize movement and promote tissue healing. Collaboration between physical therapists and other scientific disciplines enhances the clinical utility of emerging therapies such as regenerative medicine and tissue engineering.
In conclusion, exercise in physical therapy harnesses the power of mechanotransduction to promote the healing and strengthening of tendons. By following targeted exercise programs, patients can experience the positive effects of exercise on their tendons, leading to improved function and reduced pain.
Harnessing the Power of Mechanotransduction: How Exercise in Physical Therapy Promotes Tendon Healing
Introduction:
Understanding Mechanotransduction:
We’ve all been told ad nauseum about the health benefits of exercise. It improves cognitive function, decreases blood pressure, improves respiratory function, improves muscle strength and endurance, reduces fat and improves muscle mass and increases bone density and even has positive anti-aging benefits at the cellular level 1. And if you have ever been to the doctor for tendinitis or had any sort of orthopedic surgery on a tendon, you were probably prescribed physical therapy.
However, did you ever wonder how exercise actually works to heal a tendon…? What is really going on at the cellular level to cause these miraculous changes?
Well, in one fancy word the answer is “mechanotransduction”
Mechanotransduction is the biological process by which cells convert mechanical forces into biochemical responses, ultimately leading to tissue adaptation and repair 2. Basically, our bodies work on a use it or lose it system here. If there is no stimulus to tell our cells they need to grow in a certain fashion- they won’t. For example, astronauts without the stimulus of gravity will eventually lose their bone mass and muscle mass. They need to train with specific resistance patterns to offset this. Force to cells in certain vectors will let tendon and muscle tissue know they need to organize and grow in a corresponding way through biochemical signaling pathways. This is the basic theory of mechanotransduction. The body responds to needs of the environment by taking a mechanical stimulus and converting it to biochemical responses that allows the body to adapt and grow.
Nearly every physical therapy intervention in musculoskeletal rehabilitation introduces mechanical forces such as a specific exercise. The mechanical act of pulling on a tendon will cause downstream effects to individual cells, ultimately leading to tendon remodeling and repair 3. In another way, exercise acts as a mechanical stimulus to promote healing and strengthening of a tendon.
Taking things to the clinical level, the term “mechanotherapy” is used. Mechanotherapy is described as the employment of mechanotransduction for the stimulation of tissue repair and remodeling 2. The ultimate goal is to use exercise to alter tissue mass, structure, and quality.
Using a real-world example, eccentric training has shown efficacy in healing Achilles tendinopathy. One study followed 25 patients with chronic Achilles tendinopathy. The mean age was 50 years old and they had suffered on average for 17 months. They were given a 12 week eccentric achilles exercise program. Eccentric, meaning that the exercise focused on slowly lowering the heel downward from a heel raise. Basically, standing on a stair, coming up on your heels using both feet, then slowly lowering down only on the painful side. At a mean follow up of 3.8 years, 22 of the 25 patients satisfied with the outcome. Even more interestingly, 19 of the 26 tendons followed by musculoskeletal ultrasound imaging showed a normalization of tendon structure4.
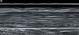
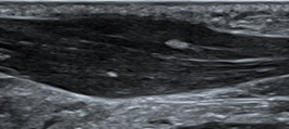
a
b 
Musculoskeletal ultrasound images of a painful Achilles tendon (a) showing a thickened tendon with areas of poor tissue quality and images of a normal Achilles tendon (b)
What is the reason these anatomical changes occurred and could be seen clear as day on the ultrasound images? Of course, it’s mechanotransduction!
Now your next question should be what actually happens at the cellular level to lead to these gross anatomical changes?
Here is where things get a little technical back to basic cell biology signaling pathways. The image below portrays of a tendon cell undergoing shear (a) and compression (b) during a tendon loading cycle. These forces elicit a deformation of the cell that can trigger a wide array of responses depending on the type, magnitude and duration of loading such as with performing an eccentric exercise to the achilles tendon.

Khan KM, Scott A. Mechanotherapy: how physical therapists' prescription of exercise promotes tissue repair. British journal of sports medicine. 2009;43(4):247-252
Mechanical loading (i.e exercise) stimulates protein synthesis at the cellular level through direct physical and indirect chemical actions on the nucleus. Stimulus on the cell pulls on integrin proteins which span the cell membrane. Integrin proteins are then connected inside the cell to its cytoskeleton which is then directly connected to the cell nucleus. Therefore, tugging on the outside of the cell causing a direct tugging on the cell nucleus. This can also be explained by the concept of “tensegrity”, which is a topic for another day. The other chemically induced indirect pathway takes place once again when the integrin proteins on the outside of the cell are pulled or stimulated in some way mechanically. This mechanical stimulus releases a chemical signaling pathways which then travel to the nucleus of the cell. Either way, this stimulus to the nucleus causes mRNA transcription which is transported to the cell’s endoplasmic reticulum for translation into a specific protein which can then be incorporated into a tendon 2.

Khan KM, Scott A. Mechanotherapy: how physical therapists' prescription of exercise promotes tissue repair. British journal of sports medicine. 2009;43(4):247-252
Getting even more technical, there are various types of mechanosensitive intracellular signaling pathways such as G protein coupled receptors, growth factor receptors, and stretch activated ion channels 3.

Wang HN, Huang YC, Ni GX. Mechanotransduction of stem cells for tendon repair. World J Stem Cells. 2020;12(9):952-965
Tendons contain tendon stem/progenitor cells (TSPCs), also commonly termed as tendon-derived stem cells (TDSCs) or tendon stem cells (TSCs), located in the fascicular matrix. These cells are responsible for replenishing tendon cells. Mechanical loading plays a crucial role in the biology of TSPCs. Tendons need an appropriate mechanical loading signal to promote the proliferation and differentiation into tenocytes (tendon cells). When the loading cycle is abnormal (too much, too little), this might lead to non tenocyte differentiation, such as into an osteocyte (bone producing cell), which will of course impair function and can cause pain 5. So, the right type of loading can not only prevent tendon pain in the first place but can also be used as treatment to mobilize our own TSPCs and heal a tendon.

Process of mechanotransduction in stem cells for tendon repair 5.
Wang HN, Huang YC, Ni GX. Mechanotransduction of stem cells for tendon repair. World J Stem Cells. 2020;12(9):952-965
Takeaway:
Exercise-based interventions harness the power of mechanotransduction to promote healing and recovery in Achilles tendinopathy. By applying controlled mechanical loads through tailored exercises, the tendon undergoes positive adaptations, including collagen synthesis, remodeling, enhanced cellular metabolism. Eccentric exercises, isometric exercises, progressive loading, and neuromuscular training are key components of a comprehensive exercise treatment program and will be discussed in another article.
Rest versus Exercise: What is the best for healing a tendon?
As discussed in the Tendinitis versus Tendinopathy article, most tendon pain is a chronic condition that changes the structure of the tendon. After reading this article we hope you agree this chronic tendinopathy requires some directed mechanical stimulus to improve. This of course is different than if there is an accident where the tendon is healthy and suffers a single injury. If there is an acute injury treatment will depend on the severity of the tendon tear and which tendon is injured. Often times a short period of protected decreased load (crutches, sling, walking boot, brace) may be needed before progressing with the above principles.
To make this confusing, sometimes people can have an acute injury in addition to having an underlying chronic tendinopathy. We will leave you with a final thought to ponder in this case: would the tendon have gotten injured if it had not already been damaged?
- Rebelo-Marques A, De Sousa Lages A, Andrade R, et al. Aging Hallmarks: The Benefits of Physical Exercise. Front Endocrinol (Lausanne). 2018;9:258.
- Khan KM, Scott A. Mechanotherapy: how physical therapists' prescription of exercise promotes tissue repair. British journal of sports medicine. 2009;43(4):247-252.
- Thompson WR, Scott A, Loghmani MT, Ward SR, Warden SJ. Understanding Mechanobiology: Physical Therapists as a Force in Mechanotherapy and Musculoskeletal Regenerative Rehabilitation. Physical therapy. 2016;96(4):560-569.
- Ohberg L, Lorentzon R, Alfredson H. Eccentric training in patients with chronic Achilles tendinosis: normalised tendon structure and decreased thickness at follow up. British journal of sports medicine. 2004;38(1):8-11; discussion 11.
- Wang HN, Huang YC, Ni GX. Mechanotransduction of stem cells for tendon repair. World J Stem Cells. 2020;12(9):952-965.
Do you feel like you want to know more, but don't know where to start? Join our course for Achilles Tendinopathy to learn how to take charge of your own health!
Stay connected with news and updates!
Join our mailing list to receive the latest news and updates from our team.
Don't worry, your information will not be shared.
We hate SPAM. We will never sell your information, for any reason.